„Postoji jutro u kojem se probudite i osjetite da vaše tijelo reagira drugačije. Možda je u pitanju vrijeme koje vam je potrebno da pronađete pravu riječ ili način na koji vaši prsti oklijevaju na tipkama telefona. Možda je to samo neodređen osjećaj, tiho priznanje da se nešto promijenilo – ne naglo, već poput onoga tko promatra more kako se polako povlači s pijeska. Mozak u sedamdesetima nije isti kao onaj u četrdesetima ili pedesetima. I to nije tragedija, to je biološka istina koju vrijedi razumjeti s vedrinom i znatiželjom, jer unutar tih promjena postoji i oblik mudrosti koji samo vrijeme može isklesati“, objašnjava dr. Nazareth Castellanos na svojoj YouTube stranici Cerebro y Alma.
Castellanos je fizičarka i neuroznanstvenica poznata po istraživanjima povezanosti mozga i tijela, disanja i meditacije te po znanstveno-popularnim knjigama poput „El espejo del cerebro“ (Ogledalo mozga) i „Neurociencia del cuerpo“ (Neuroznanost tijela). Voditeljica je istraživanja u laboratoriju Nirakara-Lab i istražuje kako svjesnost i tjelesna aktivnost utječu na fizičko i emocionalno zdravlje, povezujući znanost s ljudskom dobrobiti. Više od 20 godina posvećena je znanstvenom radu, fokusirajući se na moždanu plastičnost, pažnju i emocionalnu regulaciju. U nedavnom podcastu ilustrirala je fenomene koji se događaju u našem mozgu nakon 70. godine i objasnila kako se oni mogu smatrati izazovom, a ne fatalnošću koja nas paralizira.

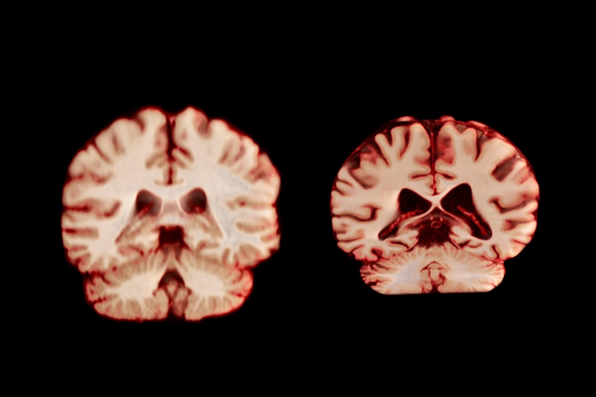
Smanjenje volumena mozga i brzina obrade
Riječ je o postupnom procesu koji počinje desetljećima ranije, ali se ubrzava nakon sedamdesete. Prefrontalni korteks, regija koja nam omogućuje planiranje, donošenje složenih odluka, kontrolu impulsa i održavanje pažnje, jedno je od najpogođenijih područja. Također, promjene trpi i bijela tvar, odnosno živčana vlakna obavijena mijelinom koja povezuju različite regije mozga. Mijelin, zaštitni sloj koji omogućuje električnim impulsima da brzo putuju između neurona, počinje propadati.
Potrebno je više vremena za obradu novih informacija, brze razgovore postaje teško pratiti, a riječ koju želimo izgovoriti često nam je „na vrhu jezika“, ali ne dolazi. „To nije nedostatak inteligencije, to je promjena u brzini obrade podataka“, tvrdi stručnjakinja. Nakon sedamdesete, hipokampus počinje raditi drugačije. Ne gubi svu sposobnost pamćenja, ali postaje selektivniji i sporiji. Možete se s emocionalnom jasnoćom sjetiti nečega što se dogodilo prije pedeset godina, ali ime osobe koju ste sreli jučer ili mjesto gdje ste jutros ostavili ključeve mogu ispariti poput dima.
Plastičnost mozga nije nestala
Dobra vijest je da pamćenje ne ovisi samo o novim neuronima, već i o kvaliteti veza između postojećih. Te sinapse se mogu nastaviti jačati kroz iskustvo, znatiželju i kontinuirano učenje. Mozak se i dalje može reorganizirati i stvarati nove putove, osobito kada je iskustvo popraćeno emocijama i osobnim značenjem. Problem je što se Hrvati u ovoj dobi često uvjere da se više ne vrijedi truditi ili da je prekasno. Ta uvjerenja ograničavaju plastičnost više od bilo koje biološke promjene.

Poteškoće sa spavanjem i emocionalna stabilnost
Postoje i promjene u načinu na koji mozak regulira san. Cirkadijalni ritam postaje manje stabilan, a proizvodnja melatonina opada. Faze dubokog sna postaju kraće, što izravno utječe na dnevno funkcioniranje, pažnju i raspoloženje. Ipak, razumijevanje ovih procesa omogućuje nam uvođenje strategija poput redovitog rasporeda, rituala opuštanja i smanjenja stimulacije prije spavanja.
S druge strane, mnogi ljudi u ovoj dobi doživljavaju veću emocionalnu stabilnost. Amigdala, odgovorna za brze i intenzivne emocionalne reakcije, postaje manje reaktivna. Rezultat je osjećaj manje impulzivnosti i veća sposobnost promatranja vlastitih osjećaja s dozom suosjećajne distance. Život postaje mirniji, što je povezano i sa smanjenjem dopamina. To nije nužno depresija, već promjena u načinu na koji mozak obrađuje užitak i bol.
Važnost kognitivne rezerve
Starenje mozga ne ovisi samo o kronološkoj dobi, već o desetljećima izbora i navika. Kognitivna rezerva je ključan koncept – to je svojevrsna „živčana štednja“ koju akumuliramo tijekom života kroz obrazovanje, čitanje, učenje jezika i intelektualne izazove. „Dvije osobe mogu imati isti stupanj oštećenja mozga, ali ona s većom kognitivnom rezervom i dalje dobro funkcionira“, pojašnjava Castellanos.

Što možemo učiniti danas? Možemo njegovati svoj mozak kroz zdravu prehranu, tjelovježbu i san kako bismo smanjili upalne procese. Mozak u sedamdesetima nije zakazao; on je drugačiji, sa svojim darovima i mudrošću. Izazov nije zaustaviti promjene, već naučiti vidjeti što se unutar njih rađa. To je novo poglavlje napisano drugačijim ritmom, ali i dalje puno mogućnosti za nas Hrvate koji želimo stariti dostojanstveno i svjesno.
